دراسة حالة | Arzee Dental – Dr. Zaiar Mabrouk
دراسة حالة حقيقية — تحويل الابتسامة

مريض كان يفكر...
«وضع الحالة تاعي مفيهاش أمل»
وهذا ما حصل...

حالة حقيقية في مدينة سطيف — كيف أعدنا بناء ابتسامة كاملة باستخدام تركيبات Zircone

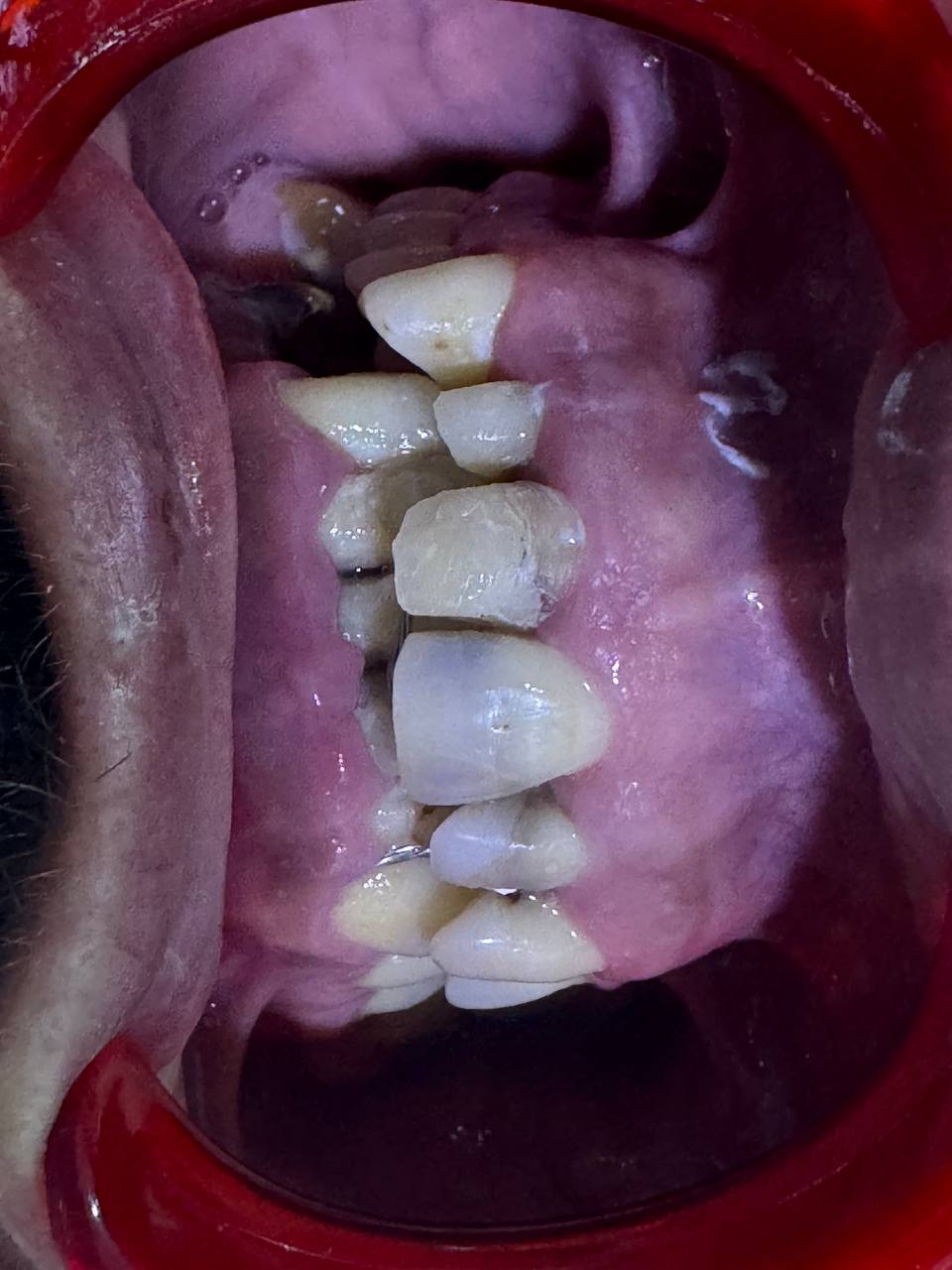
قبل العلاج — أسنان تالفة قبل
بعد العلاج — ابتسامة مثالية بعد
احصل على دراسة الحالة كاملة — مجاناً ←

ما كان يعاني منه المريض

💭 ما كان يفكر فيه المريض
«وضع الحالة تاعي مفيهاش أمل»

جاءنا مراجع وضع الحالة تاعو مفيهاش أمل — وكان عندو الحق. لأن كي يشوف في أسنانه يلقى وضعاً كارثياً ما توقعناش نشوفوه. لكن ما نراه مختلف — وكاين أمل للضحكة هاذي.

🔴
حشوات ضوئية غير متناسقة
حشوات سابقة بألوان وأشكال مختلفة تدمر مظهر الابتسامة
🦷
تسوس داخل الأسنان
تسوس عميق في أغلب الأسنان الأمامية يهدد بقاءها
🎨
كل سن بشكل ولون
لا تناسق بين الأسنان — كل واحدة تبدو مختلفة عن الأخرى
😔
عدم تناسق الابتسامة
المريض يخفي ابتسامته ويتجنب التصوير منذ سنوات

البروتوكول الذي استخدمناه

وضعنا خطة علاج شاملة تدريجية — كل خطوة ضرورية للحصول على النتيجة المثالية:

01
تنظيف الأسنان وإزالة التسوس
تنظيف عميق وإزالة كل التسوسات الموجودة قبل أي عمل تجميلي — الأساس الصحي أولاً.
02
إعادة الحشوات الضوئية المتضررة
استبدال كل الحشوات القديمة غير المتناسقة بأخرى جديدة تتناسب مع خطة الألوان المحددة.
03
علاج عصب الأسنان
الأسنان التي وصل إليها التسوس العميق — تم علاج عصبها لضمان الاستقرار على المدى البعيد.
04
تحضير الأسنان لتركيبات Zircone
تشكيل دقيق للأسنان لاستقبال التركيبات الخزفية — مرحلة تتطلب دقة عالية ومهارة متخصصة.
05
اختيار اللون المناسب للمراجع
جلسة تحديد اللون مع المراجع — النتيجة لون طبيعي يلائم بشرته وشكل وجهه تماماً.

هكذا كانت النتيجة النهائية

بعد إتمام جميع مراحل العلاج — ابتسامة لم يتوقعها المريض ولا عائلته. من أسنان «ما فيهاش أمل» إلى ابتسامة Zircone متناسقة 100%.

قبل العلاج
بعد العلاج
«وهكذا كانت النتيجة لي عجبت مراجعنا
والعائلة تاعه»
— Dr. Zaiar Mabrouk | Arzee Dental
🦷

هل تريد إعادة تأهيل ابتسامتك؟
تواصل معنا الآن

فريقنا جاهز للرد عليك في أقرب وقت — بدون أي التزام.

تواصل معنا على WhatsApp — سنرد عليك بسرعة ✓
أو احجز موعدك مباشرة
وقت التفضيل للموعد
🔒  بياناتك آمنة تماماً — لن نشاركها مع أي جهة

شكراً! تم استلام طلبك ✅

سيتواصل معك فريق Arzee Dental قريباً على الرقم الذي أدخلته.
ابتسامتك الجديدة في الطريق! 🦷

علاج متخصص بالزيركون
🏆 نتائج موثقة بالصور
📱 رد سريع على WhatsApp
🔒 سرية تامة